牙齿缺损、断牙如何有效修复?
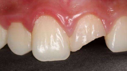
牙齿缺损会使我们的形象受到影响,特别是门牙缺损,甚至有时候也会影响我们的发音。而且牙齿容易变得敏感,一吃冷热酸甜的东西牙齿就会酸软或牙疼。但如果单单用补牙修复的话,又怕材料容易掉,也不够美观。那么,牙齿缺损如何有效修复呢?>>常见的牙齿缺损修复方式有哪些?<<

一、如果是牙齿小缺损,可以通过瓷贴面修复。瓷贴面采用0.2mm全陶瓷制作的贴片,通过高强度黏结剂粘贴于牙齿表面,达到缺损修复效果。贴面像隐形眼镜一样轻薄,无需磨去健康的牙,光透性强,色泽媲美天然牙,还你一口健康美牙。
①颜色美观:可以说这是瓷贴面显著的美学优势,瓷材料能模仿出釉质的色泽、通透性以及纹理细节,而且用树脂粘接后边缘与牙齿直接形成良好的过渡效果。
②备牙量少:瓷贴面的预备仅在釉质区域内操作,0.5mm左右的厚度,大部分仅需预备唇侧和邻面,对接式和包绕式需要预备切端和少量舌侧牙体。

③不易变色:在考古中,发现了大量的古代瓷器,有的存在几百年之久,说明瓷具有极佳的稳定性。在口内这一湿润的环境里,瓷修复体同样可以保持这种稳定性。>>瓷贴面修复牙齿可以用多久?<<
④良好的生物相容性:瓷是一种惰性材料,经过高温烧结后对牙周组织没有刺激性,抛光做好后也不容易附着菌斑。
二、针对一些牙齿缺损面积过大,可以通过仿生冠进行修复。仿生冠修复是治疗缺损牙齿的有效办法,仿生冠外表逼真美观、坚固耐磨,色泽近于天然牙,生物相容性良好,不刺激口腔组织,既能恢复牙齿功能,又有美容功效,边缘密合性大大优于传统的修复体。其次仿生冠无金属内冠,对牙龈无刺激,其光学性质、生物相容性绝佳,色彩逼真,无牙龈黑线现象,因此更接近天然牙。仿生冠还有多年后牙齿不出现黑线等优点,从而达到持久保障的美牙效果。

>>我的情况选择哪种修复方式比较好?直接咨询武汉清华阳光口腔医生<<
温馨提示:牙齿缺损一部分之后,不及时修补,缺损部分会继续扩大,后让我们失去整颗牙齿。因此,当我们的牙齿出现缺损时,一定要及时到口腔医院进行修复。

















